HOME ≫ 院内紹介 ≫
院内紹介
デジタルスキャナー(Aoralscan 3)
従来のような印象材を使わず、カメラでお口の中をスキャンすることで、より快適に歯型を取ることができます。
嘔吐反射がある方でも安心して受けていただける、身体にやさしい方法です。
また、スキャンデータは高精度な3D情報として記録され、精密で適合性の高い補綴物(被せ物や詰め物など)の作製が可能になります。
マイクロスコープ(ネクストビジョン)
肉眼では見えにくい細かな部分まで確認することができ、より精密な治療や検査が可能になります。
当院ではより正確で安全な治療を行うため、マイクロスコープを活用した精密診療を取り入れています。
炭酸ガスレーザー(オペレーザーPRO PLUS)
炭酸ガスレーザーは、歯ぐきや粘膜などの軟組織にやさしく作用する医療用レーザーです。
痛みや出血を抑えながら、傷の治りを早める効果があり、歯周病治療・口内炎の処置・外科処置などに幅広く使用されます。
麻酔を使わずに治療できることも多く、身体への負担が少ない、やさしい治療法です。
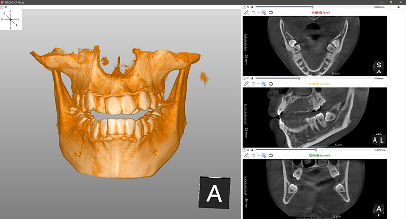
CT(NAOMI-CT:CTパノラマ複合機)
骨や歯の状態を立体的に撮影することができ通常のレントゲンでは見えにくかった部分も詳細に確認することできます。
そのため、インプラント・親知らずの抜歯・根管治療・歯周病など精密に検査を行え、より安全で確実な治療をご提供することが可能です。
また、必要な部分だけを撮影するため被ばく量も少なく、安心してご利用いただけます。
ボーンサージェリー(ピエゾサージェリー ホワイト)
硬組織(骨・歯)のみを超音波振動により切削し、軟組織の損傷を抑えた処置が可能です。インプラント窩の形成、埋伏歯の抜歯、冠の形成、歯周外科、歯内療法に適応があります。
院内紹介
外観・駐車場
当院は駐車場を17台完備しております。またバリアフリーにも対応しておりますので、車いすでのご来院も可能です。
受付・待合室
光が差し込む、リラックスできる空間でお待ちいただけるようにしています。
診療室
診療室は半個室となっており、ほかの方を気にせず治療を受けていただけます。
施設基準
医療DX推進体制整備加算
当院ではオンライン資格確認システム、電子処方箋等のデータを通じ患者様の診療情報、薬剤情報等を取得し、調剤、服薬指導を行う際に該当情報を活用しています。
初診料(歯科)の注1に掲げる基準
歯科外来診療における院内感染防止対策に十分な体制の整備、十分な機器を有し、研修を受けた歯科医師が常勤し、職員に院内感染防止対策に係る院内研修等の実施をしています。
歯科外来診療医療安全対策加算
当院では安全で良質な医療を提供し、患者さんに安心して治療を受けていただくために、十分な装置・器具を有しております。
歯科外来診療感染対策加算
院内感染管理者を配置し、院内感染防止対策についての体制整備を行っています。
歯科治療時医療管理料
患者さんの歯科治療にあたり、医科の主治医や病院と連携し、モニタリング等、全身的な管理体制を取ることができます。
小児口腔機能管理料の注3に規定する口腔管理体制強化加算
歯科疾患の重症化予防に資する継続管理(エナメル質初期う蝕管理、根面う蝕管理および口腔機能の管理を含む)、高齢者ならびに小児の心身の特性、緊急時対応に係る研修を全て修了しています。
在宅医療DX情報活用加算
当歯科医院では、オンライン資格確認等により得られた診療情報を活用し、計画的な歯科医学的管理の下に在宅医療(訪問診療)を提供しています。
歯科訪問診療科の注15
在宅等で療養しておられ通院困難な場合は、歯科訪問診療を行っています。
有床義歯咀嚼機能検査2のロ及び咬合圧検査
義歯を装着し咬合圧の測定のための分析装置を備えております。咬合機能の回復の程度等を総合的に評価し、義歯の調整や指導管理を行っております。
口腔粘膜処置
再発性アフタ性口内炎に対してレーザー照射による治療を行っています。
歯科技工士連携加算
歯科技工士との連携体制を整え、迅速かつ質の高い歯科技工の提供を行っています。
光学印象
患者さんのCAD/CAMインレー製作の際に光学印象を実施するにあたり、歯科技工士と十分な連携のうえ、口腔内の確認等を実施しています。
CAD/CAM冠及びCAD/CAMインレー
CAD/CAMと呼ばれるコンピュータ支援設計・製造ユニットを用いて製作される冠やインレー(かぶせ物、詰め物)を用いて治療を行っています。
レーザー機器加算
口腔内の軟組織の切開、止血、凝固等が可能なものとして保険適用されている機器を使用した手術を行っています。
クラウン・ブリッジの維持管理料
装着した冠(かぶせ物、詰め物)やブリッジについて2年間の維持管理を行っています。
酸素の購入単価
前年の1月から12月までに購入した酸素の対価及び容積の届出を行っています。緊急時や笑気麻酔時の対応が可能です。
手術用顕微鏡加算
複雑な根管治療及び根管内の異物除去を行う際には、手術用顕微鏡を用いて治療を行っています。
歯根端切除手術の注3
手術用顕微鏡を用いて治療(歯根端切除手術)を行っています。

